| Name | Klinefelter Syndrome (47,XXY) Reference Standard |
| Format | Genomic DNA |
| Technical Data | |
| Mutation | Klinefelter Syndrome |
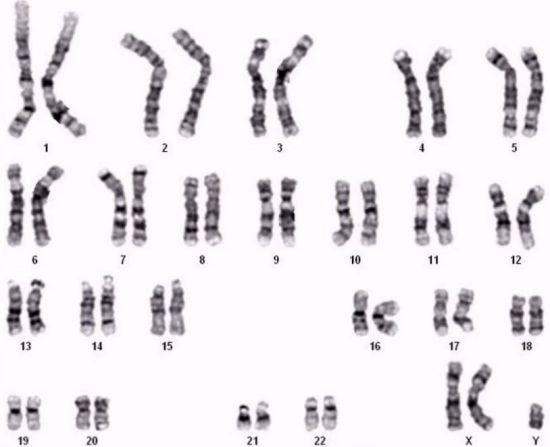
| Karyotype | 47,XXY |
| Representative Data | |
|
|
|
| Product Information | |
| Intended Use | Research Use Only |
| Unit Size | 1ug |
| Concentration | Download for COA |
| Purofication | Download for COA |
| DNA electrophoresis | Download for COA |
| Storage | 2-8℃ |
| Expiry | 36 months from the date of manufacture |
